위상차 현미경
구강 내 세균의 양과 활동성을 눈으로 직접 확인하는 검사입니다.통합진료
예방치료Preventive
정기적인 구강검진, 평생 건강의 시작입니다.
구강질환은 입속이 청결하게 관리되지 않아 치아와 잇몸에 세균이 쌓여
발생하는 것으로 충치나 잇몸 질환이 심해지면 염증이 퍼져 잇몸이 녹아내려 결국 발치하게 됩니다.
한번 무너진 잇몸은 다시 회복하기가 힘들기 때문에 평소 예방, 관리가 중요합니다.
TOC 구강검진은 첨단 장비를 활용하여 충치 · 잇몸 질환 · 치주병 · 입안 손상 · 입안 속 병소들을
초기에 발견하기 위한 정밀 검진입니다.
TOC 구강검진은 사전에 질환을 예방하고, 조기에 최소한의 진료로 연계하여
적극적으로 입속 건강을 유지할 수 있게 도와드립니다.
종합 구강검진은 최신 장비와 시약을 이용하여 7가지의 정밀 검사가 진행됩니다.
검사를 통해 환자의 현재 구강 내 세균, 구취, 충치 등을 측정하며, 검사 결과에 따라 개인 맞춤형 교육과 관리가 이루어집니다.
위상차 현미경
구강 내 세균의 양과 활동성을 눈으로 직접 확인하는 검사입니다.타액 검사
타액의 분비물, 점조도, 산성도, 완충 기능을 검사합니다.충치 활성도 검사
충치가 얼마나 잘 생길 수 있는지를 알아보는 검사입니다.플라그 체크
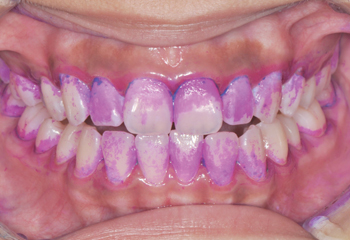
염색을 통해 잘 닦이지 않는 플라그 부분을 정확히 검사하여 치아 관리 능력을 향상시켜 드립니다.세균 유전자 검사
구강 내 세균의 독성, 종류 등을 확인합니다.구강 Photo
x-ray가 아닌 환자분의 현재 구강 상태를 촬영함으로써 정확한 진단 및 치료 전후 상태를 비교할 수 있습니다.구취측정 검사
구취를 측정할 수 있는 장비를 통해 구취 정도를 확인할 수 있습니다.개인 맞춤형 자료를 이용하여 현재 구강 내 세균, 충치 활성도, 잇몸 건강 지수 등의 구강 건강 검사 결과를 브리핑하며,
치아와 잇몸의 건강 증진을 위한 관련 지식과 예방 관리에 대해 상세히 설명해 드립니다.




종합 구강 검사 결과에 맞춰 전담 의료진에 의해 연 4회 체계적인 관리!
전문가 Hand Spa ∙ OCM 코칭 프로그램 ∙ 불소 트레이닝 등 치아와 잇몸 관리 진행합니다.
이젠 미르치과 예방 프로그램으로 해결하세요.
양치질 시 피가 자주 나는 경우
잇몸이 약한 분 또는 구취가 걱정되는 경우
보철/임플란트 수명을 길게 유지하고 싶은 경우
구강 관리 능력이 떨어지는 경우
현재의 치아를 유지하고자 하는 경우
충치가 잘 생기는 분 치아 교정 중인 경우
TOC4U 프로그램을 통해 관리/코칭 프로그램 진행하여 좋지 않았던
입속 관리법이 꾸준히 개선되고 관리를 한 결과 세균이 감소된 것을 직접 눈으로 확인하실 수 있습니다.

TOC4U 관리 전

TOC4U 관리 후
세균 착색 감소 과정
미라클네이트